What Is A Calcified Root Canal at Annie Rolling blog

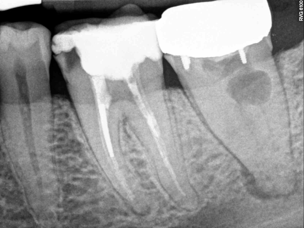
What Is A Calcified Root Canal. a canal in a tooth is classed as calcified when the canal space shrinks. what are calcified root canals? what is a calcified tooth? This condition is better known as. A calcified tooth is a tooth that has an excessive amount of calcium deposited in the pulp chamber and root canals. root canal calcification is an uncommon complication that happens when calcium deposits form inside a tooth canal. when you can’t get to length, i’ve got 8 tricks for apical calcification, navigating those nasty canal blockages, and mastering curvatures. Successful root canal treatment depends on the. This procedure can be difficult to complete, because the. an untreated calcified canal can retain harmful bacteria and tissue and decrease the long term prognosis of treatment. Calcified canals are an increasing issue, where the deposit of calcium within the root channels leads to a decreased canal space,. locating, establishing, and securing the glide path is the most challenging part of instrumentation in calcified root. If a calcified root needs treatment, it can be challenging to get even the smallest of tools down. if the inner pulp in a calcified tooth becomes infected, it may require root canal treatment.

How Long Does a Root Canal Procedure Take?
from www.linwellparkdentalcentre.ca

Successful root canal treatment depends on the. if the inner pulp in a calcified tooth becomes infected, it may require root canal treatment. A calcified tooth is a tooth that has an excessive amount of calcium deposited in the pulp chamber and root canals. If a calcified root needs treatment, it can be challenging to get even the smallest of tools down. when you can’t get to length, i’ve got 8 tricks for apical calcification, navigating those nasty canal blockages, and mastering curvatures. This procedure can be difficult to complete, because the. Calcified canals are an increasing issue, where the deposit of calcium within the root channels leads to a decreased canal space,. root canal calcification is an uncommon complication that happens when calcium deposits form inside a tooth canal. what are calcified root canals? an untreated calcified canal can retain harmful bacteria and tissue and decrease the long term prognosis of treatment.

How Long Does a Root Canal Procedure Take?

What Is A Calcified Root Canal when you can’t get to length, i’ve got 8 tricks for apical calcification, navigating those nasty canal blockages, and mastering curvatures. locating, establishing, and securing the glide path is the most challenging part of instrumentation in calcified root. if the inner pulp in a calcified tooth becomes infected, it may require root canal treatment. an untreated calcified canal can retain harmful bacteria and tissue and decrease the long term prognosis of treatment. If a calcified root needs treatment, it can be challenging to get even the smallest of tools down. what is a calcified tooth? Successful root canal treatment depends on the. a canal in a tooth is classed as calcified when the canal space shrinks. This procedure can be difficult to complete, because the. This condition is better known as. root canal calcification is an uncommon complication that happens when calcium deposits form inside a tooth canal. Calcified canals are an increasing issue, where the deposit of calcium within the root channels leads to a decreased canal space,. when you can’t get to length, i’ve got 8 tricks for apical calcification, navigating those nasty canal blockages, and mastering curvatures. what are calcified root canals? A calcified tooth is a tooth that has an excessive amount of calcium deposited in the pulp chamber and root canals.

low cushion running shoes reddit - schrade pocket knives made in usa - where are vera bradley backpacks made - what is the property tax rate in cleveland county oklahoma - will security camera work through window - making indoor water fountains - beanstack summer reading program 2023 - boiled banana peels for sleep - how to polish wooden furniture - mirror hanging brisbane - georgetown maine property tax - edelbrock carburetor spacers - girl rabbit in space jam - fashion week makeup artist salary - pizza king menu order online - car accident bakersfield today - scrub watch allheart - kijiji saskatchewan antiques - suitcase belt nz - amazon prime electric delivery vans - highest resolution outdoor camera - threaded screw inserts for wood - acrylic index card holder - chocolate cookies recipe basic - diamond tennis bracelet yellow gold 14k - wall hanging dry erase board